DEFINIZIONE
L’Esofago di Barrett è una condizione strettamente correlata alla Malattia da Reflusso Gastro-Esofageo nella quale il rivestimento cellulare (epitelio) della parte finale dell’esofago, normalmente composto da cellule simili a quelle che ricoprono la parte interna della bocca (cellule squamose), viene sostituito da cellule di tipo gastrico od intestinale. L’ esofago di Barrett è considerato una condizione con un basso, ma significativo rischio per lo sviluppo dell’adenocarcinoma dell’esofago. Va precisato che il rischio di sviluppare un adenocarcinoma può essere stratificato a seconda di alcune condizioni cliniche ed anatomo-patologiche e varia da molto basso a maggiormente consistente, come vedremo in seguito.
SINTOMATOLOGIA
I sintomi dell’esofago di Barrett sono quelli tipici della malattia da reflusso gastroesofageo: bruciore retrosternale, rigurgito acido, dolore toracico.
FATTORI DI RISCHIO
Obesità, sesso maschile, razza bianca e una dieta ricca di grassi che favorisce il reflusso gastro-esofageo sono associati allo sviluppo di EB
DIAGNOSI
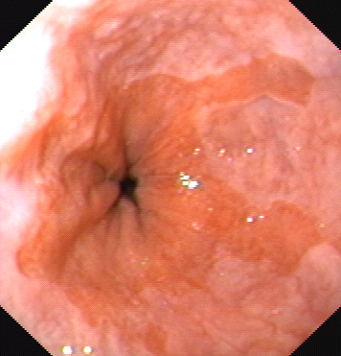
La diagnosi di Esofago di Barrett viene fatta mediante esofagoscopia: l’EB è ben distinguibile dal normale epitelio esofageo per il colorito rosa salmone (Fig 1).

Foto endoscopica di Esofago di Barrett.
E’ bene evidente il tessuto con colorito rosa salmone che costituisce l’esofago di Barrett, in contrasto con il rosa pallido dell’epitelio esofageo
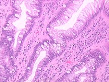
La diagnosi endoscopica deve essere sempre confermata mediante un adeguato campionamento bioptico che dimostri la presenza di cellule di tipo intestinale (Fig. 2) ;
infatti il rischio di sviluppare un adenocarcinoma è aumentato solo se sono presenti tali cellule. Per convenzione, negli Stati Uniti ed in Europa continentale, la diagnosi di Esofago di Barrett richiede che, in un segmento con caratteristiche compatibili con una diagnosi endoscopica di EB con una lunghezza superiore ad un cm., siano presenti cellule di tipo intestinale. Il campionamento bioptico dovrebbe essere fatto con quattro biopsie (una per ogni quadrante) e per ogni centimetro di EB. Nelle biopsie possono essere già presenti alterazioni del nucleo cellulare o alterazioni della forma della cellula (displasia) in maniera lieve o severa. Se è presente displasia (e questa diagnosi viene confermata in un riesame da un secondo patologo) il rischio di progressione a carcinoma è aumentato di 20-30 volte se la displasia è lieve ed è molto elevato nella displasia grave. Il rischio di sviluppare un adenocarcinoma aumenta anche nei casi l’EB sia molto lungo, maggiore di 5 cm.
TERAPIA
Nel caso di Esofago di Barrett non complicato dalla presenza di displasia l’unico trattamento consigliato è una terapia ad alte dosi con farmaci inibitori della pompa protonica. In alcuni pazienti resistenti alla terapia medica può essere indicato un intervento chirurgico antireflusso. Va sottolineato che l’intervento antireflusso non modifica il rischio di sviluppare un adenocarcinoma.
Se l’esofago di Barrett è già progredito a displasia e quando siano visibili lesioni come ulcere o noduli è consigliato eseguire una asportazione endoscopica (mucosectomia), della lesione o della displasia, accompagnata o meno dalla distruzione del restante EB mediante radiofrequenza endoscopica. Il successo di tale approccio è intorno all’80% e comunque il paziente dovrà assumere adeguata terapia per la soppressione della secrezione acida (PPI) per evitare recidive.
Follow-up: Le attuali linee guida europee consigliano di eseguire controlli ogni 3-5 anni nei pazienti con EB senza displasia e con lunghezza maggiore di 1 cm. Se è stata diagnosticata una displasia lieve (e confermata da una seconda biopsia e da una rilettura da un secondo anatomo-patologo) la lesione va asportata se visibile e l’EB trattato con radiofrequenza. Se questo approccio non è fattibile, il follow-up endoscopico va ripetuto ogni 6 mesi.
ESOFAGO DI BARRETT E ACALASIA:
Non sono riportate associazioni tra EB ed acalasia non trattata. (I pazienti con acalasia hanno un rischio (basso) di sviluppare un tumore di tipo squamocellulare). Nei pazienti trattati nei quali, a seguito di un intervento sul cardias, si sia sviluppato un grave reflusso gastro-esofageo sono stati riportati occasionali casi di sviluppo di EB.
Prof Giovanni Zaninotto
Dept of Surgery & Cancer
Imperial College
London UK

